皇冠信用网在线注册_河南一老人做冠脉造影手术时一截导丝断在血管中!院方回应
世界杯皇冠信用网平台(www.hg0088.us)为您提供最新登1登2登3代理网址,包括新2登1登2登3代理手机网址,新2登1登2登3代理备用网址,皇冠登1登2登3代理最新网址,近日,来自河南汝州的高女士反映称,她的父亲在河南省胸科医院做冠脉造影手术时,手术所用导丝末端断裂,一截导丝被遗留在血管中皇冠信用网在线注册。“父亲原本就有血栓,担心随着父亲年龄增长,病情会加剧。”
9月30日,涉事医院医患办公室工作人员告诉南都N视频记者,术后院方组织了相关科室会诊,判断回旋支指引导丝远段断裂,与患者回旋支弥漫性动脉硬化重度狭窄病变及钙化有关皇冠信用网在线注册。如果患者需要做医疗事故鉴定,院方将全力配合。目前仍在与该病人家属进行协商。

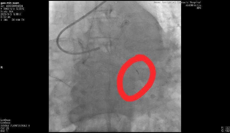
断裂的导丝皇冠信用网在线注册。受访者供图
病人家属:担心遗留导丝会加剧病情
高女士向南都记者介绍,其父亲今年62岁,去年因冠心病在河南省胸科医院做过支架植入手术皇冠信用网在线注册。今年9月2日,因感到胸闷,其父亲再次到该医院复查。
9月5日,高女士父亲在该医院做冠脉造影,手术进行了近3个小时皇冠信用网在线注册。高女士回忆说,手术结束后,负责手术的医生告诉她,“在微创探查体内的时候,一截导丝断裂。”当高女士询问能否再次实施手术取出时,医生表示因病患年纪较大,开胸手术存在危险,并没有取出的必要。但对于遗留导丝会否在后续造成长期影响,该医生则称“无法确定”。
高女士提供的病程记录显示,“手术操作过程中出现回撤导丝困难,送入微导管尝试至坎顿处未成功,退出微导管时远段导丝断裂,多途径尝试取出断裂导丝均未能成功皇冠信用网在线注册。”资料还指出,“通过复查造影,回旋支近段残余狭窄小于30%,未见明显夹层、无复流。”
南都记者留意到,该病程记录给出了心血管外科一病区会诊意见,称“回旋支内见离断的介入导丝,外科取出导丝意义不大,建议内科治疗”皇冠信用网在线注册。
高女士认为,父亲原本就有血栓,按照医院的说法,他的血管狭窄、钙化严重,其担心随着父亲年龄增长,情况会加剧皇冠信用网在线注册。她表示,目前有两个诉求,一是希望医院能给予一定金额的赔偿;二是由医院对接能做开胸手术的医院,必要情况下协助垫付一定费用。
涉事院方:可配合做相关医疗鉴定
9月30日,南都记者联系涉事医院医患办咨询,接线人员表示,目前已了解高女士的诉求,正积极与高女士进行协商皇冠信用网在线注册。
该名接线人员表示,该患者入院后,诊断冠心病、急性冠脉综合征,手术指征明确皇冠信用网在线注册。“术前已与患者及家属沟通病情,告知其冠脉造影及冠脉支架植入术的必要性及相关风险。”
这一说法可以在高女士提供的病程记录中得到印证皇冠信用网在线注册。相关记录显示,9月4日,手术医师进行查房,随后与患者及家属沟通病情,告知其冠脉造影及冠脉支架植入术的必要性及相关风险,其中提及,术后可能出现支架再狭窄或支架内血栓形成,可造成相关脏器急性缺血坏死或功能障碍,危及生命,以及导丝、导管、鞘管等术中所用材料断裂、打折等,必要时需要外科手术治疗。
该医患办工作人员向南都记者解释称,术后院方组织了相关科室会诊,判断回旋支指引导丝远段断裂,与患者回旋支弥漫性动脉硬化重度狭窄病变及钙化有关皇冠信用网在线注册。“如果患者需要做医疗事故鉴定,院方将全力配合。如果对方经济困难,医院愿意垫付费用做鉴定。”其还表示,医院将根据第三方相关鉴定,承担院方该承担的责任。
南都记者了解到,当前高女士向医院提出30万的索赔,院方认为索赔数目太高,建议走司法程序进行司法鉴定,以此明确医院的过错及比例,如果家属对血管里的导丝感到担心,医院可先补偿8000元皇冠信用网在线注册。
高女士表示,当前她已将诉求反映至省卫健委有关部门,正在进一步等候处理中皇冠信用网在线注册。
采写:南都N视频记者 林诗妍
猜你喜欢
- 4天前皇冠信用网怎么代理_内塔尼亚胡:“消灭真主党”是以黎谈判前提;以军袭击已致黎巴嫩2020人死亡,6436人受伤
- 4天前皇冠信用网代理如何申请_伊朗掌握海峡主导权,各国分5级,需人民币结算,中国船缴费最低
- 4天前皇冠信用网代理如何申请_巴外长对华出言不逊,不到24小时巴总统穆利诺打圆场,完全没了此前的嚣张态度
- 5天前皇冠信用网在哪里开通_百年基业被特朗普扬了:50+机构、几十年研究全没了
- 6天前皇冠信用网注册网址_1.6万砍到6千?韩国先向印尼交付KF-21原型机,后续还卖16架
- 1周前正版皇冠信用网代理_刚向日本承诺G7峰会没有中国,马克龙又在韩国对华摆一道,李在明不跟
- 1周前世界杯皇冠平台_安徽6岁失联女童确认遇害,嫌犯柳某某(女,35岁)已归案
- 2周前皇冠信用网账号_伊朗有救了?车臣或将下场参战,局势变3对1,以色列将腹背受敌
- 2周前皇冠信用网申请条件_乒乓球世界杯丨国乒男单仅王楚钦温瑞博闯进16强
- 2周前皇冠信用网怎么申请_曝勇士对詹姆斯小卡感兴趣 休赛期探索加盟可能性
- 3周前如何申请皇冠信用网_匈牙利总理欧尔班:中国简直不可战胜
- 3周前信用盘如何申请_克努佩尔26+11+8造NBA新历史 比肩基德库里来日必超?
- 3周前如何代理皇冠信用_重庆市委书记袁家军会见宇树科技董事长王兴兴一行
- 3周前怎么申请皇冠信用网_河南6岁男童被25岁妈妈“遗忘”酒店半月!酒店工作人员自发当起“临时妈妈”,妈妈终于现身,孩子紧抱不愿松手!网友:希望以后被善待
- 3周前怎么申请皇冠信用网代理_张雪峰去世,终年41岁
- 3周前皇冠信用网会员开户_全球懵圈!伊朗“打脸”后,特朗普再回应!
- 3周前皇冠信用网登123出租_萨巴伦卡展望与郑钦文第九次对决:每一次都是新的开始
- 4周前皇冠信用最新地址_以色列迪莫纳被伊导弹击中,国际原子能机构:未影响附近核研究中心
- 4周前如何申请到皇冠信用_海南一起交通事故致2死5伤,警方通报:越野车司机林某(男,53岁)涉嫌酒驾,已被抓获
- 4周前如何申请到皇冠信用_巴林改口:是“爱国者”拦截导致32名平民受伤,不是伊朗无人机
- 4周前皇冠信用网怎么弄_中央批准:江成不再担任山东省委常委
- 4周前怎么申请皇冠信用网_伊朗发起直接对等报复!特朗普:对以色列这次袭击“毫不知情”
- 4周前皇冠信用网注册开户_伊斯梅尔·哈提卜,确认身亡
- 4周前皇冠信用网注册开户_路虎1分钟8次别停奔驰引发事故,警方认定却多次反转,奔驰维修加折旧损失近16万,无法走保险流程维权陷困


网友评论